Acest site folosește cookies. Continuarea navigării implică acceptarea lor. Mai multe informatii
aici
OK
0722-834-991
Programare
Acasă
Despre noi
Tratamente
Tehnologii
Cazuri
Galerie
Urgențe
Articole
Contact
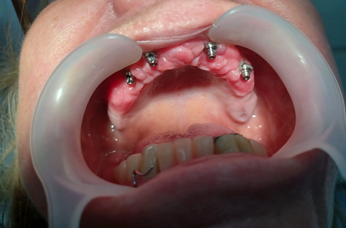
Caz #02
Punte totală superioară pe 4 implanturi