Acest site folosește cookies. Continuarea navigării implică acceptarea lor. Mai multe informatii aici
OK
0722-834-991
Programare

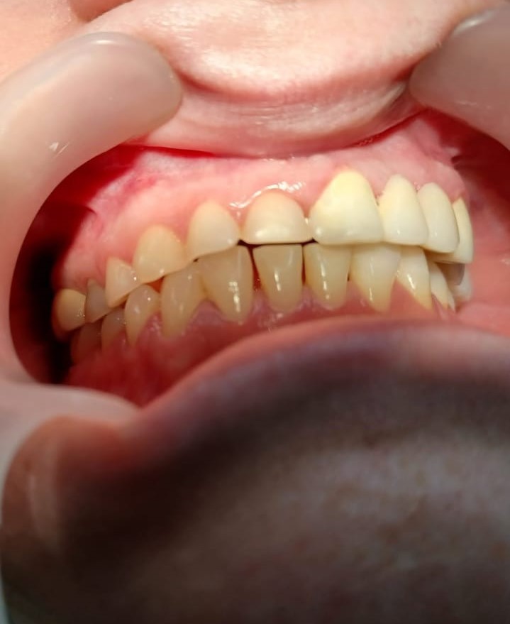
Caz #03

Reabilitare zonă frontală

Pacienta s-a prezentat la cabinet pentru o nouă lucrare de reabilitare, nefiind mulțumită de cea prezentă.

Lucrare protetică - Punte dentară de zirconiu

 

După gingivectomie la nivel 11, am realizat, pentru 2 luni, o punte provizorie PMMA. La finalul tratamentului, s-a optat pentru punte dentară de zirconiu.